診療科目
ハート歯科クリニックで受けられる診療科目をご紹介いたします。
一般歯科
虫歯治療・歯周病治療・入れ歯作製など保険治療です。
痛くないように、ていねいに治療いたしますので安心してご来院いただけます。
まずは、ブラッシング指導から詳しくご説明アドバイスいたします。
虫歯は小さいうちに、歯周病は初期のうちに治しましょう!!30歳代になると定期的な歯科医院での歯周病の予防管理が必要になります。
一般歯科について詳しく知りたい方はこちら
小児歯科
"子供もママも安心"の小児歯科。
小児の経験豊かな女性歯科医師が担当です。
"やさしくてたのしいハート歯科"の虫歯予防とはならびチェックで健康な永久歯に!
定期的にフッ素塗布を行う"ハートキッズクラブ"も募集中です。
小児歯科について詳しく知りたい方はこちら
予防歯科
"おいしく食べて・話して・笑う"幸せな生活は歯の健康から。
歯を長持ちさせるためには、原因菌を定期的にクリーニングする北欧発祥の予防歯科が効果的です。
歯の痛みのない快適な毎日を!
定期的に歯科医院でプロフェッショナルクリーニングを受けて、快適な生活を実感してください。
予防歯科について詳しく知りたい方はこちら
審美歯科
保険治療の歯はどうしても劣化し、黄ばんできます。
"もっと白い歯になってみたい"
"長くきれいに使える歯を入れたい"
ホワイトニングやセラミックでその願いが叶います。カウンセリングでご希望にあったプランをお作りします、ご相談ください。
審美歯科について詳しく知りたい方はこちら
インプラント
失った歯を補う最新の方法"インプラント"
入れ歯やブリッジの不快感なく、見た目も使い心地も最高です。
院長の確かな技術で多くのお喜びの声をいただいております。
インプラントについて詳しく説明した小冊子(院長 今井 光著)を無料にて配布中です。ご希望の方は、ご請求ください。
インプラントについて詳しく知りたい方はこちら
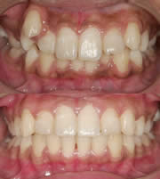
矯正歯科
歯並びで人の印象は変わるものです。
思いきり人前で笑えます!
ハート歯科クリニックいまいの矯正治療は
"なるべく歯を抜かない"
"歯や顎の関節に優しい"
治療法です。
なるべく歯を抜かないGEAWテクニック、新素材ゴムメタルワイヤーを用いて治療いたします。
もちろん、磨きにくい矯正中も虫歯・歯周病予防で徹底管理して歯を守ります。
なるべく抜かない矯正歯科について詳しく知りたい方はこちら
歯周内科(くすりで治す歯周病治療)
一般的な歯周治療では治らない難治性の歯周病の原因菌を、お薬で除菌する画期的な治療法です。
抗生剤服用とお口の中に薬を塗り歯周病を治します。
従来の方法より急速に治療結果が見込まれる方法です。
歯周病で口臭が気になる方もご相談ください。
















当院の中をのぞいてみませんか?待合室から診察室まで、ご紹介します。






当院の治療の流れがわかります。「歯なんか、痛くなければ良いんだ!」とおっしゃる患者様には向いてないかもしれません。


自分の歯が甦り、他の歯を守るインプラント。手術が恐い?長持ちする?安全?高いんじゃないの?という疑問にお答えします。
3次元CTを活用し、よりわかりやすく安全なインプラントを実現します。


